高橋矯正歯科 クリニック
歯並び治療の
専門医院です
Orthodontics
Exclusively


デーモンシステムによる矯正治療の一例

高橋矯正歯科クリニック(東京・世田谷)

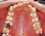
治療例11の治療経過です。
・かみ合わせの不調和と歯列のガタガタ(叢生)をデーモンシステム(Damon System)という名前の矯正装置で治療しました。
・この装置はセラミックのように完全に透明な装置ではありませんが、「少ない摩擦力と優しい力による歯の移動」が特長です。
・どのような装置を使用して治療するかは、ご希望の治療内容や目標および歯並びの状態を総合的に判断し、治療をお受けになる患者さんご本人(と保護者の方)との話し合いにより決定します。


初診時の状態です。上下の歯並びがガタガタしており、奥歯の咬み合わせも正しくありません。


デーモンシステムという名前の装置を使用しています。



治療終了後は後戻りしないように歯の裏側にリテーナーを装着します。
この後は年に1度くらいの定期検査を続け、歯石や歯の着色をとったり、虫歯ができていないかチェックします。



治療前後の比較です。
すばらしい笑顔です。




歯並びがきれいに整いました。

戻る
<症例の掲載について>
  ・院長による症例をご本人様の承諾を得て掲載しています。
  ・診断用の写真を承諾を得ることなしに公開することは絶対にありません。
  ・当院のモデルとしてご協力を賜りましたことを心より感謝いたします。
  ・著作権所有:高橋矯正歯科クリニック(世田谷区)禁無断転載




問合せ先:

〒157-0072 東京都世田谷区祖師谷3-32-5石田ビル3F
E-mail : takahashikyousei@gmail.com
TEL:03-5429-0206
高橋矯正歯科クリニック(東京・世田谷)
(小田急線祖師ケ谷大蔵駅徒歩1分)

自由診療の内容と費用に関する情報はこちら

治療のリスクと副作用に関する情報はこちら





著作権所有:高橋矯正歯科クリニック(世田谷区)