高橋矯正歯科 クリニック
歯並び治療の
専門医院です
Orthodontics
Exclusively


見えない矯正治療例

高橋矯正歯科クリニック(東京・世田谷)

治療例13の治療経過です。
・上の前歯の前突と下の歯並びのガタガタ(叢生)を、STbという見えない矯正装置(舌側矯正/裏側矯正/リンガル矯正)で治療しました。
・STbは小さくて薄いので、従来の裏側からの装置に比べて、会話や食事に与える影響が少ないという特長があります。
・この方法による矯正治療では、歯の外側に金属色の装置を付ける事を極力避けることができます。
・どのような装置を使用して治療するかは、ご希望の治療内容や目標および歯並びの状態を総合的に判断し、治療をお受けになる患者さんご本人(と保護者の方)との話し合いにより決定します。


初診時の状態です。上の前歯が出ていて、下の歯並びがガタガタしています。


上の4番目の歯を抜いて、上下の歯の見えないところに矯正装置を付けます。歯を抜いたところが分からないように、人工の歯(ダミー)を装着します。

この方法による矯正治療では、原則的に歯の外側に金属色の装置がつきません。


歯を抜いた隙間を完全に閉じ、細かい仕上げをします。


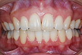
治療後の状態です。


治療終了後は後戻りしないように歯の裏側にリテーナーを装着します。
この後は年に1度くらいの定期検査を続け、歯石や歯の着色をとったり、虫歯ができていないかチェックします。



治療前後の比較です。

上の前歯が正しい位置に引っ込み、歯並びがきれいに整いました。

上の歯を2本抜いて治療していますが、隙間は完全に閉じ、傷も残りません。

HOME

戻る

<症例の掲載について>
  ・院長による症例をご本人様の承諾を得て掲載しています。
  ・診断用の写真を承諾を得ることなしに公開することは絶対にありません。
  ・当院のモデルとしてご協力を賜りましたことを心より感謝いたします。
  ・著作権所有:高橋矯正歯科クリニック(世田谷区)禁無断転載




問合せ先:

〒157-0072 東京都世田谷区祖師谷3-32-5石田ビル3F
E-mail : takahashikyousei@gmail.com
TEL:03-5429-0206
高橋矯正歯科クリニック(東京・世田谷)
(小田急線祖師ケ谷大蔵駅徒歩1分)

自由診療の内容と費用に関する情報はこちら

治療のリスクと副作用に関する情報はこちら





著作権所有:高橋矯正歯科クリニック(世田谷区)