高橋矯正歯科 クリニック
歯並び治療の
専門医院です
Orthodontics
Exclusively

歯並びの治療例(1)

高橋矯正歯科クリニック(東京・世田谷)

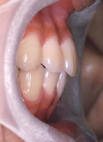
1. 歯並びがきれいになり美しい笑顔になりました。
治療前 治療後
裏側矯正(舌側矯正/リンガル矯正)です。 治療経過はこちら


2. ガタガタの歯並びがきれいに整いました。
治療前 治療後
歯を抜かない(非抜歯)矯正です。治療経過はこちら


3. 歯が引っ込み口元の形が良くなりました。
治療前 治療後


4. 反対に咬んでいた前歯が正しくなりました。
治療前 治療後


5. ゆがみのある歯並びが左右対称になりました。
治療前 治療後


6. 歯ぐきが見えにくくなりました。
治療前 治療後


7. 小学生からの治療(小児矯正)で永久歯を抜かずに治りました。
治療前 治療後
小児矯正の治療例です。治療経過はこちら



8. ガタガタの歯並びがきれいに整いました。
治療前 治療後


9. 大きくずれていた咬み合わせが正しくなりました。
治療前 治療後


10. 前歯でものを噛み切ることができるようになり、
口元の形もよくなりました。
 
治療前 治療後
レベルアンカレッジ法による治療例です。治療経過はこちら

HOME

歯並びの治療例(2)へ

<症例の掲載について>
  ・院長による症例をご本人様、保護者の方の承諾を得て掲載しています。
  ・診断用の写真を承諾を得ることなしに公開することは絶対にありません。
  ・当院のモデルとしてご協力を賜った方々に心より感謝いたします。

  ・著作権所有:高橋矯正歯科クリニック(世田谷区)/禁無断転載



問合せ先:

〒157-0072 東京都世田谷区祖師谷3-32-5石田ビル3F
E-mail : takahashikyousei@gmail.com
TEL:03-5429-0206
高橋矯正歯科クリニック(東京・世田谷)
(小田急線祖師ケ谷大蔵駅徒歩1分)

自由診療の内容と費用に関する情報はこちら

治療のリスクと副作用に関する情報はこちら




著作権所有:高橋矯正歯科クリニック(世田谷区)